|
|
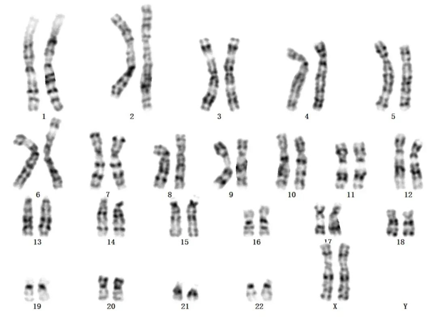
本文转载自 检验视界网 作者 | 黄敏君 林堃 柳岚 林华 涂海健 单位 | 莆田学院附属医院产前诊断中心 很多人都知道,人类正常的染色体共有23对,46条,包括22对常染色体和2条性染色体。正常情况下,男性的染色体核型为46,XY,女性的染色体为46,XX。若男性的染色体为46,XX,或者女性的染色体为46,XY,这就叫性反转综合征(SexReversal)。 近日,一位31岁男子来我院行外周血淋巴细胞染色体核型分析,结果竟然为女性,通过PCR技术又检测出男性的性别决定的关键基因SRY,究竟是何缘故? 患者,男,31岁,于2021年3月22日在我院生殖中心进行健康体检,身高约155cm左右,无特殊面容,身体比例协调,主诉要做染色体核型分析。 该患者首次检查染色体核型分析结果为46,XX,由于该核型结果与其社会性别不符,通知患者重新抽血复查,外周血淋巴细胞的核型分析结果46,XX(图1)仍为女性核型。检验科检查项目包括性激素九项、Y基因微缺失。
图2 激素九项检查结果 从患者的激素九项检查结果我们可以看出,睾酮1.04ng/mL(成年人参考范围:1.75-7.81ng/mL),促卵泡刺激素41.15mIU/mL(参考范围:成年男性:1.27-19.26mIU/mL;女性绝经期:16.74-113.59mIU/mL),黄体激素15.23mIU/mL(参考范围:成年男性:1.24mIU/mL;成年女性绝经期:10.87-58.64mIU/mL),甲状腺功能激素正常。 卵泡刺激素(FSH)是受下丘脑促性腺释放激素(GnRH)控制,由垂体前叶嗜碱性细胞分泌的一种激素,调控人体的发育、生长、青春期性成熟、以及生殖相关的一系列生理过程,刺激生殖细胞的成熟。 卵泡刺激素在男女两性体内都是很重要的激素之一,对于女性来说,主要作用为促进卵泡成熟。促进卵泡颗粒层细胞增生分化,促进整个卵巢长大发育,协同促黄体生成素(LH)促使发育成熟的卵泡分泌雌激素和排卵,参与正常月经的形成。在男性作用于睾丸曲细精管,可促进精子形成。 通常情况下,成年男性FSH指标上限约20mIU/mL,该患者的FSH、黄体激素、雌二醇的激素水平与女性绝经期的水平相当,而睾酮的指标却是停留在未成年人水平。 通过PCR技术检测外周血淋巴细胞DNA中的Y基因发现,该患者存在SRY基因,但是未检测到AZF基因,如图3所示。遗憾的是,患者不同意通过多色荧光原位杂交(FISH)验证SRY基因的存在定位及进一步医学检查。
图3 患者Y基因检测结果(SRY+/AZF(a+b+c)-) 众所周知,SRY基因(sex-relatedY)是人类性别决定基因,它是睾丸决定因子(testisideterminingfactor,TDF)的最佳候选基因。SRY基因定位于Yp11.3,只含有一个外显子,没有内含子,转录单位长约1.1kb,编码一个204氨基酸的蛋白质,如图4。
图4 Y染色体上的SRY基因 既往研究表明,SRY基因的缺失、突变、易位和倒位重复可能导致性发育异常(disorderof sexdevelopment,DSD)[1-3]。本案例中患者社会性别是男性,但是其核型结果为女性,又因为PCR结果提示有SRY基因的存在,通过临床医生与其进行沟通得知,患者为无精症,将于外院做辅助生殖,所以才来行外周血染色体核型分析,但拒绝任何体格检查。由于缺乏其性腺彩超结果,结合激素九项的异常结果,只能是预测其为46,XX睾丸型DSD。 46,XX睾丸型DSD是一种人类性染色体畸变,其特征是染色体和性腺之间不一致,包括46,XX(SRY阳性)和46,XX(SRY阴性)。 46,XX睾丸型DSD的发病机制目前主要存在有以下两种假说: ①Yp-Xp易位假说:近年来,荧光原位杂交技术结合SRY基因特异性探针的研究结果已证明,46,XX男性患者父源X染色体短臂(Xp)远端存在一个SRY基因探针信号。该结果表明,SRY基因向X染色体的易位是导致46,XX患者发育出完全男性性特征的关键因素。其他少数病例研究报告SRY基因易位到X染色体的长臂(Xq28)。 ②目标基因突变假说:研究提示SRY基因通过抑制X染色体和激活Y染色体的双重调控来决定男性的性别分化,导致SRY基因抑制常染色体基因的表达,SRY基因未激活时使结构基因自发启动向46,XX男性。目前,人们认为DAX1、SF1、WNT4、WT1和NR5A1也可能参与性别决定过程。这些基因主要通过改变在性别决定过程中的蛋白水平或蛋白质功能发挥作用。 该患者发生性发育异常的原因还需通过高通量测序技术等分子手段,才能将最后的真相浮出水面。 虽然在受精卵形成的那一刻,性染色体组成就已决定。但即便如此,每个人在胚胎使其都需要经历一段“两性人”的时期。截至妊娠6周为止,胚胎都没有性别,属于双性共体。无论性染色体是XX还是XY,人类胎儿都有一对生殖嵴和两幅导管,具有形成睾丸或卵巢的双向潜能。 直到第7周,胎儿才开始进行性分化。如果胎儿为XY染色体,那么SRY基因就开始发挥作用,可诱导睾丸的形成并抑制卵巢的发育;若胎儿为XX染色体,没有SRY基因,到妊娠第10周-第11周,卵巢就会开始发育形成[4]。
睾丸和卵巢确定了,这两种性腺就会开始产生不同的性激素。对于女性,卵巢分泌的雌激素将促使缪勒氏管(Mullerianducts)分化为输卵管和子宫。 对于男性,睾丸分泌的雄激素则会使伍尔夫管(Wolffianducts)发育,形成附睾、精囊及输精管,如图5所示。在这之后,不同的性激素还决定着外生殖器的发育以及影响未来第二性征的出现。这个过程是至关重要的,出现任何纰漏,都有可能造成性别分化异常的情况出现。
图5 早期胚胎性腺发育过程 由于外周血染色体核型技术的局限性,当遇到不能解释临床表型的患者有必要对其进行SRY基因检测,可以采用多种遗传学检测方法,如FISH、CNV-seq等以明确病因,辅助诊断,协助选择适当的治疗方法。 FISH技术通过特定探针实现SRY基因在染色体上的定位,用于判断SRY基因是否易位至X染色体或常染色体而导致其功能丧失,致性发育异常。CNV-seq技术通过全基因组低深度DNA测序,检测染色体非整倍体异常和100kb以上的基因组拷贝数异常,可明确未知结构染色体的性质和来源。 SRY基因是睾丸决定因子的最佳候选基因,但是SRY基因的缺失、突变、易位和倒位重复可能导致性发育异常,因此SRY基因的存在并不是睾丸形成的决定因素。对于性发育异常的患者,应常规检测SRY基因,即使无Y染色体,如果SRY阳性,亦应探查性腺。 本案例通过对一例社会性别与外周血淋巴细胞染色体检测结果大相径庭的罕见案例分析,经过询问病史--循证--分析,提出多种性发育异常的可能原因。若是能进一步与患者沟通,取得其FISH及CNV-seq的结果,将能更好的阐明其性发育异常的缘由。这也给我们临床医生一些启示,对于主动要求行染色体核型检查的患者,应更加全面地了解其病史,以及各项检查,作出相应的初步判断,而后再做补充项目,能够更加全面的解释其病因,从而给予患者完善的诊疗建议。 点评专家:莆田学院附属医院检验科副主任林华 【参考文献】 [1]RajenderRajenderS, Rajani V, Gupta NJ, et al.SRY-negative 46,XX male with normal genitals,complete masculinizationand infertility. Mol Hum Reprod 2006;12(5):341-346. [2]WangT, Lin JH, Yang J, et al. 46,XX male sex reversal syndrome: acase report and review of the genetic basis.Andrologia2009;41(1):59-62. [3]PepeneCE, Coman I, Mihu D, et al. Infertility in a new 46,XXmale with positive SRY confirmed by fluorescence in situhybridization: a case report. Clin Exp Obstet Gynecol2008;35(4):299-300. [4]WangT, Lin JH, Yang J,et al. 46,XX male sex reversal syndrome:a case report and review of the genetic basis. Andrologia,2009;41(1):59-62. 来源:检验医学 |






