|
|
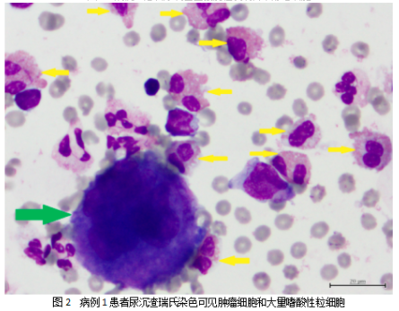
本文转载自检验医学网 案例经过 病例1 患者男性,66岁,就诊于泌尿外科,临床诊断膀胱恶性肿瘤,泌尿系感染,失眠等。 尿液分析检测:WBC 276.30个/ul、RBC 3925.70个/ul、CAST 1.11个/ul、 BACT 209.90个/ul。 尿干化学结果:白细胞酯酶(+)、尿蛋白(+++)、尿潜血(+++)、尿糖(+)、尿胆原(+)。 仪器检测结果触犯科室制定的复检规则,离心镜检发现除了白细胞、红细胞较多外,偶可见胞体巨大的异常形态细胞(图1红色箭头所示)。 为进一步明确异常细胞种类,将尿沉渣涂片后进行瑞氏染色,镜检发现胞体巨大的细胞有一部分具有核质比高、核形不规则、染色质略细致、浆量丰富,有的呈云雾状胞浆,根据这些特点确定为肿瘤细胞(图2绿色箭头所示)。同时还发现镜下的白细胞中有二分之一以上并非中性粒细胞,而是嗜酸性粒细胞(图2黄色箭头所示)。
该患者尿液中的嗜酸性粒细胞从何而来?是否考虑该患者合并有嗜酸性粒细胞膀胱炎?患者有没有泌尿系感染? 带着这些疑问与主管医生沟通,得知该患者膀胱癌术后正在进行膀胱灌注化疗,于是将尿沉渣染色结果备注在检验报告单上审核发布(图3)。
病例2 患者男性,61岁,就诊于泌尿外科,临床诊断膀胱炎、膀胱恶性肿瘤。 尿液分析检测:WBC 90.00个/ul、EC 28.9个/ul、 BACT 66.70个/ul。 尿干化学结果:白细胞酯酶(+)、尿潜血(±)。离心镜检可见白细胞15-20个/HP,尿路上皮细胞5-7个/HP(图4)。
因为镜下有部分细胞结构不清晰,于是进行了涂片瑞氏染色,镜下发现成团或散在分布的嗜酸性粒细胞(图5黄色箭头所示),于是电话告知临床医生镜检情况并在报告单备注涂片染色结果(图6)。
案例启示 对于大多数尿沉渣标本来说,我们只能做到直接镜检确定有形成分的种类,这样做对识别常见的红细胞、白细胞、正常尿路上皮细胞、各种生理和病理性结晶、各种管型、真菌、阴道毛滴虫是可以的,但是当尿沉渣中有形态不典型的特殊成分时,建议大家应该采取进一步的检测识别手段予以确认,只有这样,才能尽可能多的给临床报告更加准确、有诊断价值的信息。 根据我们的工作经验,尿沉渣涂片瑞氏染色镜检有如下作用: (1)查找肿瘤细胞。像病例1中直接涂片镜检见到的胞体较大、不能确定来源的异常形态细胞,此时就必须通过瑞氏染色(或巴氏染色)才能确认肿瘤细胞,如果患者是初诊,能够帮助临床确定诊断方向,如果患者有肿瘤病史或术后,能准确向临床报告肿瘤组织有残留、肿瘤复发或转移,这对患者的进一步治疗和预后评估有重要意义。 (2)明确白细胞类别,协助临床诊断。如病例1的尿沉渣涂片染色镜检,在发现肿瘤细胞的同时,确定尿液中的白细胞有40%是嗜酸性粒细胞,这给临床医生提示患者存在术后灌注化疗药造成的反复刺激引起的局部变态反应,即嗜酸性粒细胞膀胱炎,患者是否有尿路感染,还需结合临床症状和进一步的中段尿培养来确诊,这直接关系到临床治疗。 同样,病例2的尿沉渣通过染色后发现成堆的嗜酸性粒细胞和破碎的上皮细胞,说明患者膀胱有局部变态反应。可见必要的尿沉渣涂片染色的意义也是不可小觑的。 因此,如果尿中白细胞增高但不伴有尿路刺激症状或临床感染证据不明确时,建议加做尿液涂片染色,对临床诊断还是具有很大帮助的。 尿液涂片染色白细胞分类的意义有:
此外,肾移植术后1周内,尿中可出现较多的中性粒细胞,随后可逐渐减少至正常;若出现排异反应,尿中可见大量淋巴细胞和单核细胞。因此尿中白细胞增多不能只考虑泌尿系统感染。 (3)确定感染源。无论是细菌、真菌,还是寄生虫造成的泌尿系统感染,均可引起尿中白细胞升高,如果尿沉渣直接镜检不能发现并确定这些病原微生物,通过涂片染色镜检查找病原体对确定感染源是细菌、真菌和/或阴道毛滴虫是有帮助的,特别是存在于细胞内的细菌或真菌等病原体临床意义更大。 总之,在尿沉渣中若发现不能识别的异常成分如特殊细胞、不明结晶或寄生虫等,需要通过各种方法和手段(包括化学染色、加热或化学试验等)进一步识别,尽可能给临床提供更多有诊断价值的信息。 来源:检验科 |




