首页 >> 技术支持 >> 不怀孕无从查起?这3类不孕女性,千万别漏查AMH!
不怀孕无从查起?这3类不孕女性,千万别漏查AMH!

转载至检验医学网 

以下文章来源于生殖医学空间 ,作者白春梅


近年来,不孕症的发病率呈现明显增高的趋势,生殖门诊的就诊病人也达到了接近于饱和的程度。

而对于婚后未避孕、有正常性生活、夫妻同居一年而未受孕者均可诊断为不孕症。


当不孕症患者前来就诊时,生殖科医师一般会通过对患者性激素水平的检测以及阴道B超下对窦卵泡计数(AFC)的监测来评估患者的生殖功能,从而制定合理的治疗方案。


但这两种检测方法对卵巢功能预测的灵敏度较低,基础性激素的检测与患者的月经周期有关,AFC则容易受到促性腺激素释放类药物的影响。


那么不孕检查从何查起呢?抗缪勒管激素(AMH)作为现如今生殖医学中心的一种新兴的检验指标正迅速崛起。


图片
AMH到底是个啥呢?


抗缪勒管激素(Anti-mullerian hormone,AMH)是一种二聚体糖蛋白,主要由窦前卵泡和直径<4 mm的小窦状卵泡中的颗粒细胞分泌。


图片

卵巢内卵泡的不同发育阶段


AMH及其受体在窦前卵泡和直径<4mm的小窦状卵泡中表达最高,而在4-8 mm的窦状卵泡中表达逐渐降低,在直径>8mm的卵泡中几乎不表达。


因此卵巢内<4 mm的小窦状卵泡数量越多时,血清AMH浓度也就越高,相反的随着年龄的增长,卵巢储备的卵泡减少,血清AMH值会呈现下降的趋势,直至绝经无法检测到。


图片


图片

哪些人群不应该错过这个检查呢?


1、前来就诊的不孕患者:


对于首次来就诊的不孕患者来说,评估卵巢储备功能是必不可少的一步。


卵巢储备功能是指卵巢内可募集的成熟卵泡的数量和质量,是反映女性生育能力的重要指标。对卵巢储备功能进行有效的评估,可以帮助生殖科医师为患者制定合理的治疗方案,改善不孕症患者助孕结局。


再来看AMH,其主要功能是抑制女性始基卵泡的募集和生长

(1)首先是阻止始基卵泡进入生长卵泡池;

(2)其次可降低卵泡对卵泡刺激素(FSH)的敏感性,从而使窦前卵泡和小窦状卵泡的生长受到抑制,不能生长至排卵前卵泡的阶段,即不能成长为优势卵泡,使得卵泡发育停滞于此。



通过这两方面的作用,可防止过多的卵泡消耗,保留卵巢的储备,及时的检测女性血清AMH值可以在卵巢储备减少变得严重之前及早发现,尽早的进行一定的助孕手段使其有机会推进妊娠计划,从而最大限度地提高妊娠成功的机会。


所以血清AMH值在评估卵巢的储备功能以及女性的生育能力方面具有重要价值。


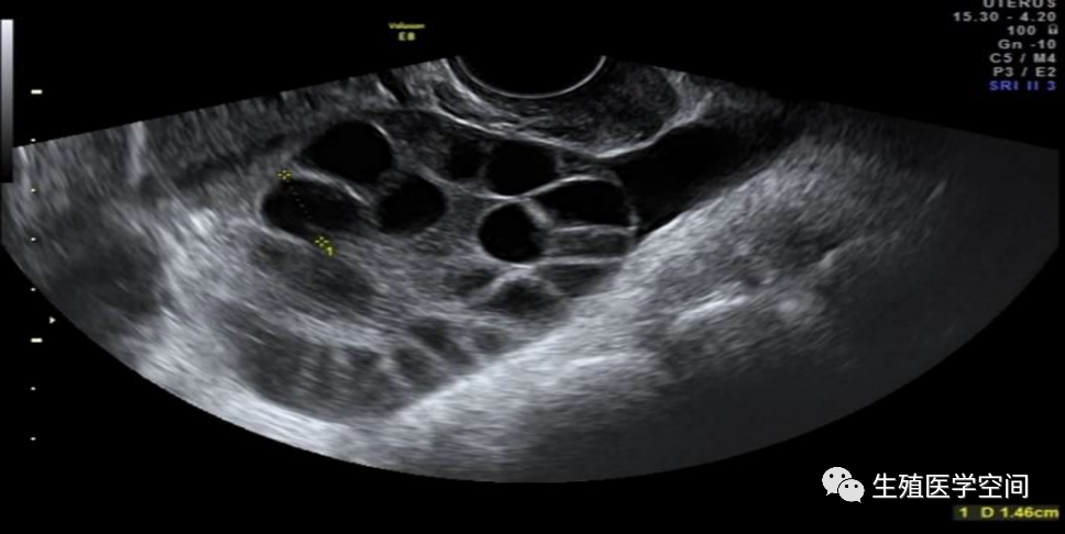
2、多囊卵巢综合征(polycystic ovarian syndrome, PCOS)患者:


PCOS是一种内分泌紊乱性疾病,主要表现为月经不规律、排卵异常、雄激素高,于月经周期第3-5天行盆腔B超可见双侧卵巢均有≥12个且直径2-8mm的小卵泡。


如此众多的小窦状卵泡会分泌更多的AMH,血清AMH值较高时则可刺激一定数量的始基卵泡生长发育成为为小窦状卵泡,小窦状卵泡的增多会使优势卵泡的选择受阻,卵巢就会呈现多囊状态。


如此就形成了一个恶性循环,这就使得卵巢多囊的患者稀发排卵或者无排卵,最终导致不孕。


所以测量血清AMH有助于对PCOS患者的判断,从而制定适合的促排卵方案,避免卵巢过度刺激综合征(OHSS)发生。


图片

B超检测下的一侧卵巢切面及其内的多个卵泡(卵巢过度刺激)


3、欲行体外受精-胚胎移植(IVF-ET)的患者:


在辅助生殖技术(ART)中,AMH也起到了至关重要的作用。


在ART前检测血清AMH指标可以更好地制定个体化的促排卵方案,以期取得更多的卵泡,降低再次取卵的可能性,提高助孕的成功率。


并且也可以在一定程度上也避免OHSS的发生。


图片

还有这些优点不得不提


另外不得不提的是,AMH作为一种评估卵巢储备的新型指标,相较于其他指标而言有很多明显的优点。


1、由于其生产及分泌具有自身稳定性,不受下丘脑-垂体-卵巢轴的调控,也能避免激素,月经及妊娠的影响,所以可保证较高的准确性。


2、AMH相较于FSH、雌二醇(E2)、抑制素B (INHB)和窦卵泡计数(AFC)能更早的反映卵巢储备随年龄下降的趋势。


3、在时间上不受约束,可于月经周期的任意一天化验。


说了这么多,总的来说呢,对于不孕症患者而言,血清AMH是一种评估卵巢储备功能的良好检测指标!

图片

AMH低怎么办?


上边说了,AMH代表卵的数量。


但不代表质量,所以如果是年轻女性,低水平的AMH和中等水平AMH的怀孕几率没有太大差别,尽管AMH值低代表卵子数目少,但年轻女性的卵子质量较好,仍可以正常受孕。


女性过了35岁,AMH会快速下降,女性朋友们一定要定期检测AMH值,如果有生育计划一定要趁早。一定要保持良好的生活习惯,在备孕期间均衡饮食,保证充足的休息与运动,保持良好的情绪,适当补充营养。


技术支持: 建站ABC | 管理登录
seo seo